Espondilolistesis: Todo lo que debes saber sobre esta enfermedad

Fuente externa.
La espondilolistesis es una enfermedad en la que los huesos de la espina dorsal (vértebras) se deslizan fuera de su lugar y encima de la vértebra inferior. Si se desliza demasiado, el hueso puede presionar el nervio, causando dolor. Normalmente, suele afectar a los huesos de la parte inferior de la espalda.
La palabra espondilolistesis viene de la palabra griega spondylos, que significa «espina dorsal» o «vértebra», y listhesis, que significa «deslizarse».
A continuación Cleveland Clinic ofrece algunos datos que debe conocer sobre esta enfermedad:
Hay diferentes tipos de espondilolistesis. Los tipos más comunes incluyen:
Espondilolistesis congénita – Congénita significa que está «presente a la hora del nacimiento». La espondilolistesis congénita es el resultado de una formación anormal de los huesos. En este caso, el orden anormal de las vértebras las pone en un riesgo aumentado de deslizarse.
Espondilolistesis ístmica – Este tipo ocurre como resultado de una espondilolisis, una condición que lleva a tener unas pequeñas fracturas por compresión (roturas) en las vértebras. En algunos casos, las fracturas debilitan el hueso tanto que se desliza fuera de su sitio.
Lea: ¿Qué es un ACV, lo que sufrió monseñor Ramón Benito de La Rosa y Carpio?
Espondilolistesis degenerativa – Es el tipo más común de esta enfermedad. Con la edad, el disco — el cojín entre los huesos vertebrales – pierde agua, volviéndose menos esponjoso y menos capaz de resistir los movimientos de las vértebras.
Formas menos comunes:
- Espondilolistesis traumática, donde una lesión lleva a la fractura o deslizamiento de la espina dorsal
- Espondilolistesis patológica, que es cuando la espina dorsal se debilita por causa de alguna enfermedad – como la osteoporosis – una infección o un tumor
- Espondilolistesis post-quirúrgica, que se refiere a el deslizamiento que ocurre o que empeora después de una operación quirúrgica de la espina dorsal
¿Cómo de común es la esponsilolistesis?
La espondilolistesis es una causa muy común de dolor de espalda entre adolescentes. Los síntomas de la espondilolistesis suelen empezar durante los años de crecimiento de la adolescencia. La espondilolistesis degenerativa suele ocurrir más comúnmente después de los 40 años de edad.
¿Cuáles son los síntomas de la esponsilolistesis?
Mucha gente con esponsilolistesis no tiene síntomas y ni siquiera saben que tienen esta enfermedad. Cuando ocurren los síntomas, el más común de ellos es el dolor de espalda.
El dolor se suele extender por la parte inferior de la espalda, y puede parecer como un tirón muscular.
La esponsilolistesis también puede causar espasmos musculares en los músculos de los tendones de detrás de los muslos. Ésta tensión en los tendones de los muslos puede causar que la persona ande con pasos cortos y con las rodillas ligeramente dobladas. Si la vértebra desplazada oprime el nervio, el dolor puede extenderse a lo largo de la pierna hasta el pie. Puede que también tenga hormigueo y/o sensación de entumecimiento.
¿Cómo se clasifica la espondilolistesis?
Un radiólogo determina el grado de deslizamiento al analizar un rayo-x de la espina dorsal. El grado de deslizamiento se clasifica del I al IV:
- Grado I – deslizamiento del 1 por ciento al 25 por ciento
- Grado II – deslizamiento del 26 por ciento al 50 por ciento
- Grado III – deslizamiento del 51 por ciento al 75 por ciento
- Grado IV – deslizamiento del 76 por ciento al 100 por cien
Generalmente los deslizamientos de grado I y grado II no requieren tratamiento quirúrgico, sino que se suelen tratar con medicamentos. Los deslizamientos de grado III y grado IV pueden requerir intervención quirúrgica si los deslizamientos son persistentes o dolorosos.
¿Cómo se diagnostica la esponsilolistesis?
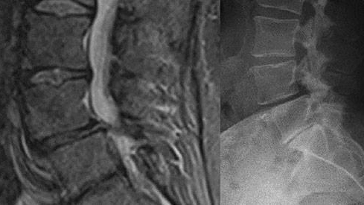
Unos rayos-x de la parte inferior de la espalda pueden mostrar si hay alguna vértebra fuera de lugar. Se puede necesitar un escáner de topografía computerizada (siglas en inglés CT) o un escáner de resonancia magnética (siglas en inglés MRI) – que produce imágenes más detalladas – para ver más claramente si están comprometidos los huesos o los nervios.
¿Cómo se trata la espondilolistesis?
El tratamiento para la espondilolistesis depende de varios factores, incluyendo la edad y el estado de salud de la persona en general, la extensión del deslizamiento, y la severidad de los síntomas. El tratamiento suele ser conservador, e incluye descanso, medicación, y ejercicio.
La espondilolistesis más severa suele requerir intervención quirúrgica.
¿Se puede prevenir la espondilolistesis?
Aunque la espondilolistesis no es prevenible, hay pasos que se pueden tomar para reducir el riesgo de deslizamiento:
- Mantén tu espalda y músculos abdominales fuertes para ayudar a soportar y estabilizar la parte inferior de la espalda.
- Escoge actividades y deportes que no pongan la parte inferior de tu espalda en peligro de sufrir lesiones. Nadar y andar en bicicleta son opciones posibles.
- Mantén un peso sano. El exceso de peso añade presión a la parte inferior de tu espalda.
- Come bien, una dieta bien equilibrada, para mantener los huesos bien nutridos y fuertes.
Para finalizar, Cleveland Clinic precisa que su intención reemplazar el consejo de su médico o proveedor de servicios de salud.

Espondilolistesis: Todo lo que debes saber sobre esta enfermedad