¿Manchas en los dientes? Conozca qué la causa y sus efectos en la salud

fluorosis foto
¿Qué es la fluorosis?
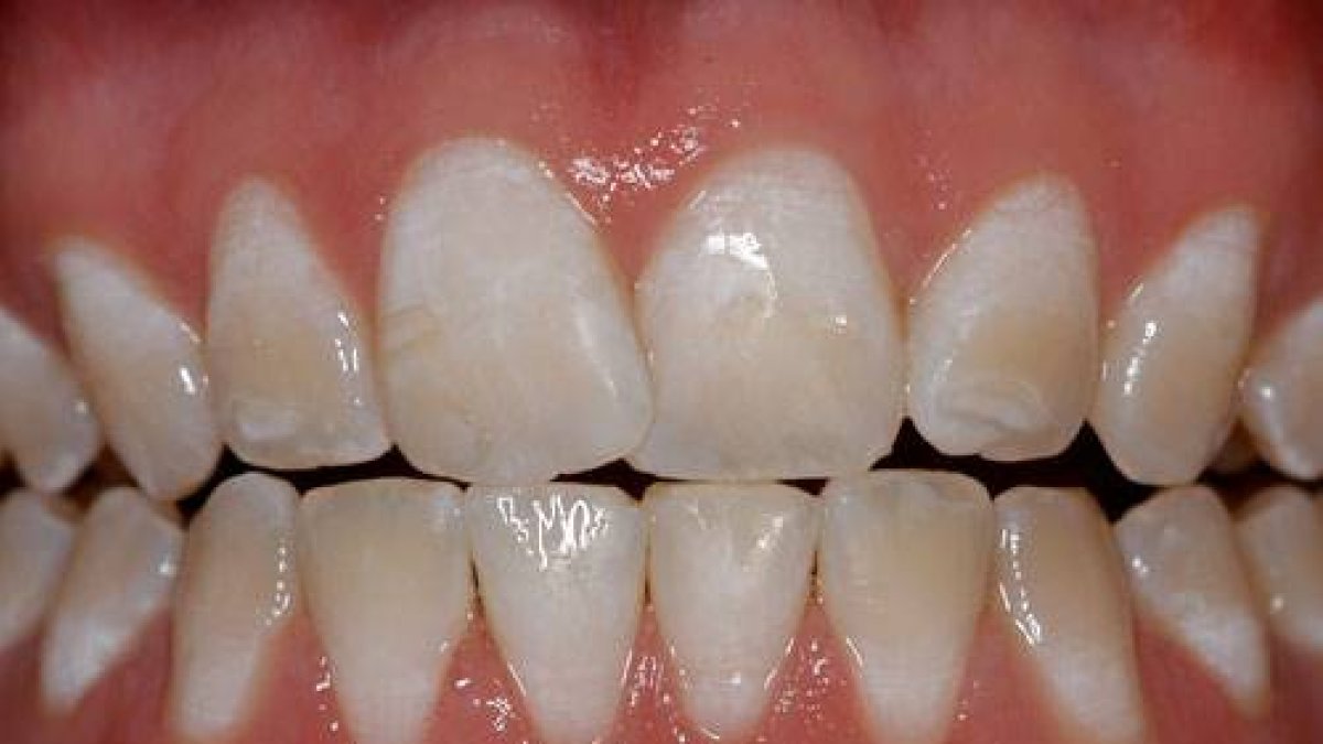
La fluorosis es definida como un cambio que sucede en la superficie esmaltada del diente que produce manchas blancas.
El cirujano maxilofacial Edward Félix, afirmó que la fluorosis se debe a la excesiva ingesta de flúor en los dientes.
Destacó que el flúor es importante, pero sino se administra correctamente, puede llegar a suceder esto «que llamamos fluorosis».
“El flúor no es más que una sustancia que puede favorecer a la remineralización del diente en dosis bien administradas, pero el exceso de este último puede producir finalmente manchas que pueden ser incomodas a la vista”, expresó.
De igual modo, la doctora en odontología, Swanny Cabral Rojas manifestó que la fluorosis generalmente es causada por la exposición del flúor a temprana edad, como también puede ser por los alimentos y el agua que lo contengan.
Aseguró que esta enfermedad bucal puede clasificarse en tres niveles que son leve, moderado o grave.
Lea también: #SaludOralHOY El ABC de las llagas en la boca
Consecuencias
La fluorosis puede afectar en diversos grados a aparatos y sistemas que conforman el cuerpo. Entre ellos están, el óseo, digestivo, reproductivo, urinario, inmunológico, endocrino y el sistema nervioso central, llegando a producir efectos genotóxicos y carcinogénicos.
Síntomas
Entre los síntomas que se puede llegar a tener al padecer de fluorosis se encuentran las manchas blancas, manchas negras, líneas blancas, decoloración y dientes moteados e incluso hasta picados.
Le puede interesar: Presentan «candado en los dientes» que permite adelgazar
Prevención
Rojas explicó que para prevenir la fluorosis se deben de tomar algunas medidas. “La prevención seria no usar pastas dentales que contengan mucho flúor, no exponer a los niños al flúor, porque generalmente cuando la persona es pequeña es que se genera, dárselo de forma moderada”, afirmó.
Tratamiento
La odontóloga también aseguró que para tratar la fluorosis se pueden realizar diversos procesos como lo es la aplicación de una capa de resina que se le hace al diente, como puede ser también la aplicación de coronas y carillas.